jipmer_logo.png

Atriofascicular pathways

Raja Selvaraj
Cardiac Electrophysiologist
Professor of Cardiology
JIPMER

Terminology

  • Mahaim fiber
  • Mahaim tachycardia
  • Atriofascicular pathway
  • Antidromic tachycardia

Clinical presentation - Tachycardia

0001.png

Atriofascicular AP - Classical features

No retrograde conduction through pathway

01_central_VA.JPG

Antegrade conduction is decremental

02_decremental_antegrade.JPG

Variable preexcitation from different atrial sites

ra_change.jpg

Retrograde His activation with short, fixed VH

03_VH_change.JPG

Tachycardia

03a_tachy.JPG

AOP during tachycardia

04_AVA.JPG

Septal refractory PAC preexcites V

05_septal ref PAC.JPG

Septal refractory PAC - Other responses

  • Can postpone next V
  • Can terminate tachycardia

Ventricular overdrive pacing

05_VOP.JPG

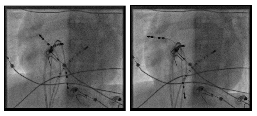
Mapping

09_ablation site.jpg

Pathway potential

08_ablation_signal.JPG

Ablation

09a_succ_ablation.JPG

Automaticity

10_mahaim_auto.JPG

Automaticity and echo

11_automaticity_echo.JPG

Difficult cases

  • Multipolar catheter along TA ?
  • Map on ventricular side of annulus
  • Parallel versus Perpendicular orientation of map catheter

More ventricular

AP_potential.JPG

Bump

mahaim_bump.jpg

ECG - What is seen ?

0005.png

ECG - What is seen ?

0006.png