jipmer_logo.png

Inadequacies of current CIEDs in HF management

Raja Selvaraj
Cardiac Electrophysiologist
Professor of Cardiology
JIPMER

Wishlist

  • Better battery life
  • Adaptive algorithms for intelligent pacing
  • Remote monitoring
  • Modular and combination therapies
  • Device based monitoring and intervention

Not discussing today

  • Optimization of implant and programming
  • Improving responder rate
  • Improving hardware

Better battery life

Battery advances

  • Better battery chemistry
  • Energy harvesting technology
  • Wireless charging
  • Nanotechnology - nanomaterials for electrode surfaces
  • Ultra low power electronics

Battery chemistry

  • Senning 1958 - Rechargeable Nickel Cadmium battery (hours to 6 weeks)
  • 1960s - Mercury Zinc batteries
  • Plutonium nuclear power
  • Lithium Iodine - 1975
  • Lithium Silver Vanadium Oxide - ICDs
  • Other Lithium ion batteries

Energy harvesters

energy_harvesters.jpg

Biofuel cell, thermoelectric generator,piezoelectric transducer, triboelectric nano generator

Implantable Triboelectric Nano Generator (ITENG)

iteng.png

Ouyang H, Liu Z, Li N, Shi B, Zou Y, Xie F, Ma Y, Li Z, Li H, Zheng Q, Qu X, Fan Y, Wang ZL, Zhang H, Li Z. Symbiotic cardiac pacemaker. Nat Commun. 2019 Apr 23;10(1):1821. doi: 10.1038/s41467-019-09851-1.

Adaptive algorithms for intelligent pacing

Adaptive pacing

  • Rate hysteresis
  • Rate responsive pacing
  • AV hysteresis
  • AF rate modulation

Managed ventricular pacing

mvp.png

Adaptive LV pacing

adaptive_crt.png

Better adaptive algorithms?

  • Better measures of cardiac function
  • Evaluating response to different settings
  • In every device

Better remote monitoring

Remote monitoring as standard of care

more_care.jpg

Boriani G, … Burri H; MORE-CARE Study Investigators. Effects of remote monitoring on clinical outcomes and use of healthcare resources in heart failure patients with biventricular defibrillators: results of the MORE-CARE multicentre randomized controlled trial. Eur J Heart Fail. 2017 Mar;19(3):416-425. doi: 10.1002/ejhf.626.

Towards universal remote monitoring

  • Bluetooth based connectivity
  • Intelligent analysis of alerts and appropriate action
  • Network of connections for alerts
  • Challenges of confidentiality and security

Modular and combination therapies

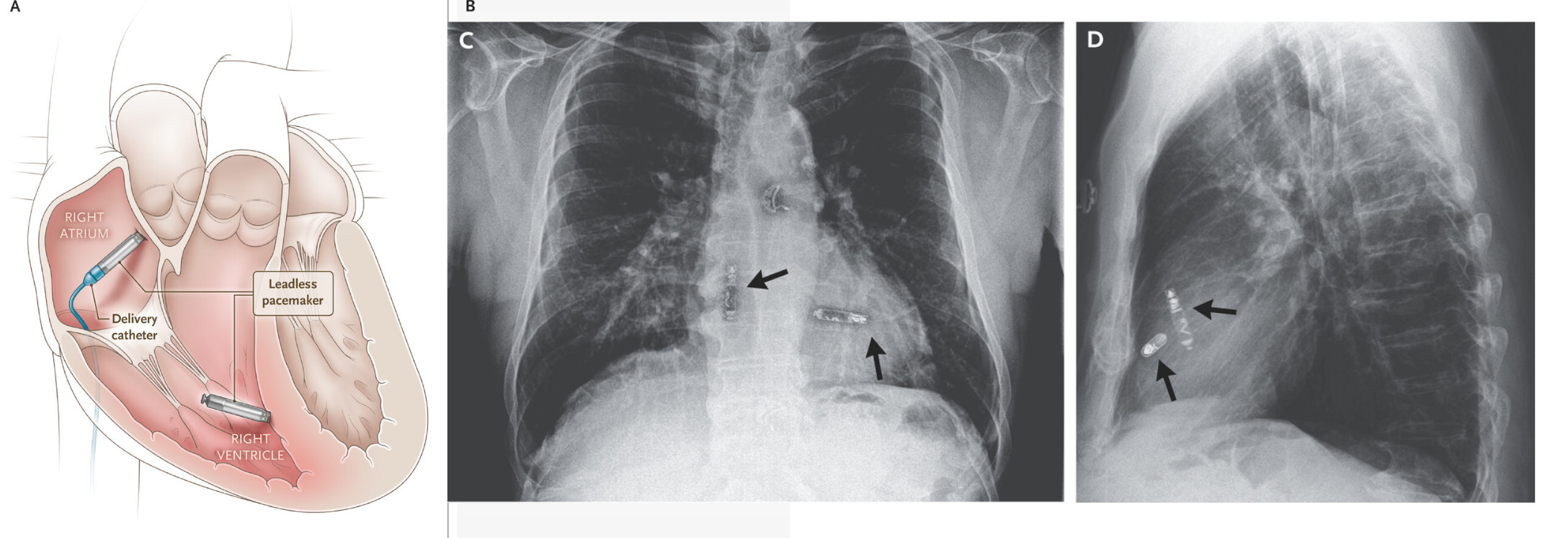
Dual chamber leadless pacemaker

dual_llp.jpg

Knops RE, Reddy VY … Aveir DR i2i Study Investigators. A Dual-Chamber Leadless Pacemaker. N Engl J Med. 2023 Jun 22;388(25):2360-2370. doi: 10.1056/NEJMoa2300080.

WISE CRT

wiseCRT.jpg

Auricchio A., Delnoy P.P., Butter C., et al. and for the Collaborative Study Group : "Feasibility, safety, and short-term outcome of leadless ultrasound-based endocardial left ventricular resynchronization in heart failure patients: results of the Wireless Stimulation Endocardially for CRT (WiSE-CRT) study". Europace 2014; 16: 681

Leadless pacemaker with ICD

modular_llp_icd.jpg

Knops RE …; MODULAR ATP Investigators. A Modular Communicative Leadless Pacing-Defibrillator System. N Engl J Med. 2024 May 18. doi: 10.1056/NEJMoa2401807. Epub ahead of print.

modular_systems.jpg

Cardiac contractility modulation

ccm.png

Phrenic nerve stimulation for OSA

respicardia.png

Device based monitoring and intervention

Impedance monitoring in heart failure

impedance_monitoring.png

van Veldhuisen DJ… DOT-HF Investigators. Intrathoracic impedance monitoring, audible patient alerts, and outcome in patients with heart failure. Circulation. 2011 Oct 18;124(16):1719-26. doi: 10.1161/CIRCULATIONAHA.111.043042.

CARDIOMEMS

cardiomem.png

CHAMPION

champion.jpg

Givertz MM … CHAMPION Trial Investigators. Pulmonary Artery Pressure-Guided Management of Patients With Heart Failure and Reduced Ejection Fraction. J Am Coll Cardiol. 2017 Oct 10;70(15):1875-1886. doi: 10.1016/j.jacc.2017.08.010.

Monitoring alternans

egm_alternans.jpeg

Swerdlow C, Chow T, Das M, Gillis AM, Zhou X, Abeyratne A, Ghanem RN. Intracardiac electrogram T-wave alternans/variability increases before spontaneous ventricular tachyarrhythmias in implantable cardioverter-defibrillator patients: a prospective, multi-center study. Circulation. 2011 Mar 15;123(10):1052-60. doi: 10.1161/CIRCULATIONAHA.110.986364.

Stochastic pacing to ameliorate alternans

stochastic_equation.png

Stochastic pacing to ameliorate alternans

stochastic_restitution_slope.jpg

Summary

  • CIEDs in patients with heart failure has seen tremendous advances
  • More advances on the way
  • Better longevity, modular devices are on the way