jipmer_logo.png

Accessory pathways - What are the targets for ablation?

Raja Selvaraj
Cardiac Electrophysiologist
Professor of Cardiology
JIPMER

Setting up the signals

Bipolar signals

  • Identifying annulus location
  • Earliest activation
  • Identifying individual components of the signal may be difficult

Identify components of the signal

mask1.jpg

Identify components of the signal

mask2.jpg

Identify components of the signal

mask3.jpg

Identify components of the signal

mask4.jpg

Pathway potential

k_potential.png

Warin JF, Haissaguerre M, Lemetayer P, Guillem JP, Blanchot P. Catheter ablation of accessory pathways with a direct approach. Results in 35 patients. Circulation. 1988 Oct;78(4):800-15. doi: 10.1161/01.cir.78.4.800.

regression_egm.png

Cappato R, Schlüter M, Mont L, Kuck KH. Anatomic, electrical, and mechanical factors affecting bipolar endocardial electrograms. Impact on catheter ablation of manifest left free-wall accessory pathways. Circulation. 1994 Aug;90(2):884-94. doi: 10.1161/01.cir.90.2.884. PMID: 8044960.

antegrade_ap_potential.png

Jackman WM, Friday KJ, Yeung-Lai-Wah JA, Fitzgerald DM, Beck B, Bowman AJ, Stelzer P, Harrison L, Lazzara R. New catheter technique for recording left free-wall accessory atrioventricular pathway activation. Identification of pathway fiber orientation. Circulation. 1988 Sep;78(3):598-611. doi: 10.1161/01.cir.78.3.598.

retrograde_ap_potential.png

Jackman WM, Friday KJ, Yeung-Lai-Wah JA, Fitzgerald DM, Beck B, Bowman AJ, Stelzer P, Harrison L, Lazzara R. New catheter technique for recording left free-wall accessory atrioventricular pathway activation. Identification of pathway fiber orientation. Circulation. 1988 Sep;78(3):598-611. doi: 10.1161/01.cir.78.3.598.

Retrograde potential

ap_pot_retrograde.JPG

unipolar_egm.png

Recording and interpreting unipolar electrograms to guide catheter ablation. Usha B. Tedrow, MD, MSc William G. Stevenson, MD, FHRS. Heart Rhythm HANDS ON. VOLUME 8, ISSUE 5, P791-796, MAY 2011

EGM setup

map_signals.jpg

EGM set up

egm_setup.JPG

Unipolar

unipolar_good.JPG

EGM target

Earliest A or shortest VA ?

Earliest A or shortest VA ?

earliest_a.jpg

Earliest A or Potential ?

pot_late_a.jpg

The “isolated AP potential” identifies the middle of the AP and is the ideal target for ablation

Warren Jackman

Accessory pathway recording and ablation. Heart Rhythm, Vol 18, No 5, May 2021;834, https://doi.org/10.1016/j.hrthm.2021.01.008

What is AP slant?

ap_med_lat.jpg

slant.JPG

slant_direction.png

slant_wavefront.jpeg

Otomo K, Gonzalez MD, Beckman KJ, Nakagawa H, Becker AE, Shah N, Matsudaira K, Wang Z, Lazzara R, Jackman WM. Reversing the direction of paced ventricular and atrial wavefronts reveals an oblique course in accessory AV pathways and improves localization for catheter ablation. Circulation. 2001 Jul 31;104(5):550-6. doi: 10.1161/hc3001.093499. PMID: 11479252.

Specific locations

Posteroseptal / Left posterior pathways

LA-CS potentials

epicardial_ap_signal_sequence.jpg

LA-CS potentials

la_cs_block.jpg

CS pathways

  • Negative delta in lead II
  • Previous failed ablation
  • Atrial fibrillation - clinical or during EPS
  • May or may not have diverticulum

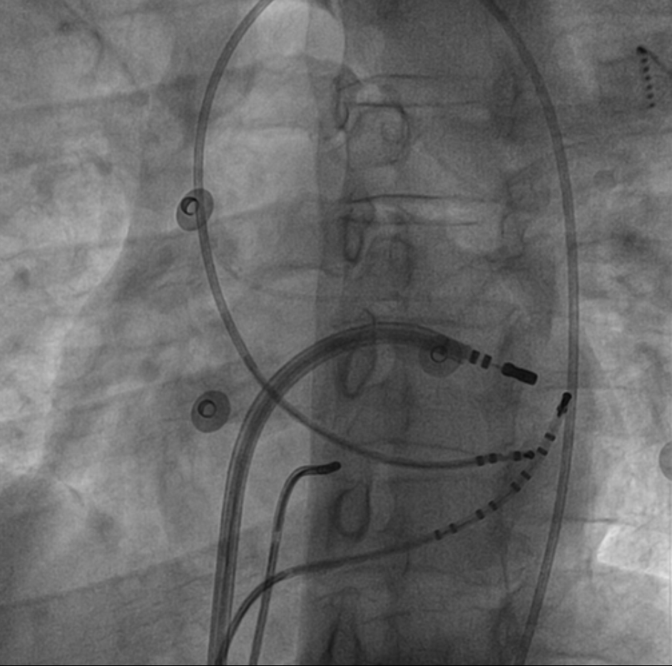
Selvaraj RJ et al. Radiofrequency ablation of posteroseptal accessory pathways associated with coronary sinus diverticula. J Interv Card Electrophysiol. 2016 Nov;47(2):253-259. doi: 10.1007/s10840-016-0113-x.

CS diverticulum

ecg.jpg

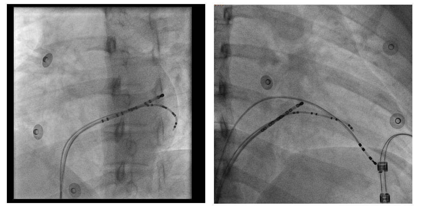
Mapping in diverticulum

diverticulum.jpg

Mapping in diverticulum

med_lat_div.jpg

Mapping in diverticulum

signals.jpg

Mapping in diverticulum - CSE potential most important

div_schematic.jpg

Selvaraj RJ et al. Radiofrequency ablation of posteroseptal accessory pathways associated with coronary sinus diverticula. J Interv Card Electrophysiol. 2016 Nov;47(2):253-259. doi: 10.1007/s10840-016-0113-x.

In absence of diverticulum, map along tributaries

no_diverticulum.jpg

Specific locations

Anteroseptal / midseptal

Map and ablate during tachycardia

asap_ablation_tachy.jpg

Anteroseptal AP may be ablated from non coronary cusp

ncc.jpg

Specific situations

Left free wall

Mapping during

  • Right ventricular pacing (eccentric at long CL)
  • CS pacing (manifest preexcitation)
  • Orthodromic tachycardia (sustained tachycardia)
  • Left ventricular pacing

Entrain when ablating free wall AP during tachycardia

entrain_ablate.jpg

Pacing from LV

lv_catheter.png

Pacing from CS tributary

cs_pacing.jpg

Isthmus block

isthmus_block.jpg

Non annular location of AP

fig2.jpg

Non annular location of AP

fig3.jpg

Appendage pathways

  • RAA to RV
  • LAA to LV
  • Endocardial ablation from within AA may be difficult
  • Epicardial approach may be required
  • Proximity of major coronary arteries to LAA

appendage_3d.png

Nikola Dragisic, MD, FACC, Emily R. Backes, MD, Lindsey Malloy-Walton, DO, MPH, Philip M. Chang, MD, FACC, FHRS. Atrial appendage accessory pathway ablation: Tips for recognition and approach to ablation. Heart Rhythm Case Reports, Vol 9, No 12, December 2023 876

Specific locations

Right free wall

Sheath

sheath_rfwap.jpg

Under valve approach

under_valve_approach.png

Yang J, Yang G, Chen H, Ju W, Yang B, Zhang F, Jin Y, Cao J, Qian L, Chen M. An alternative under-valve approach to ablate right-sided accessory pathways. Heart Rhythm. 2019 Jan;16(1):51-56. doi: 10.1016/j.hrthm.2018.07.022. Epub 2018 Jul 19. PMID: 30031200.

3D mapping for AP ablation

Benefits of 3D mapping

  • Reduces Fluoro
  • Non annular pathways
  • Tag areas for ablation

cs_diverticulum.jpg

Long RP - Activation mapping

pjrt.jpg

Short RP - Open window mapping

owm_1.jpg

Open window mapping

owm_2.jpg

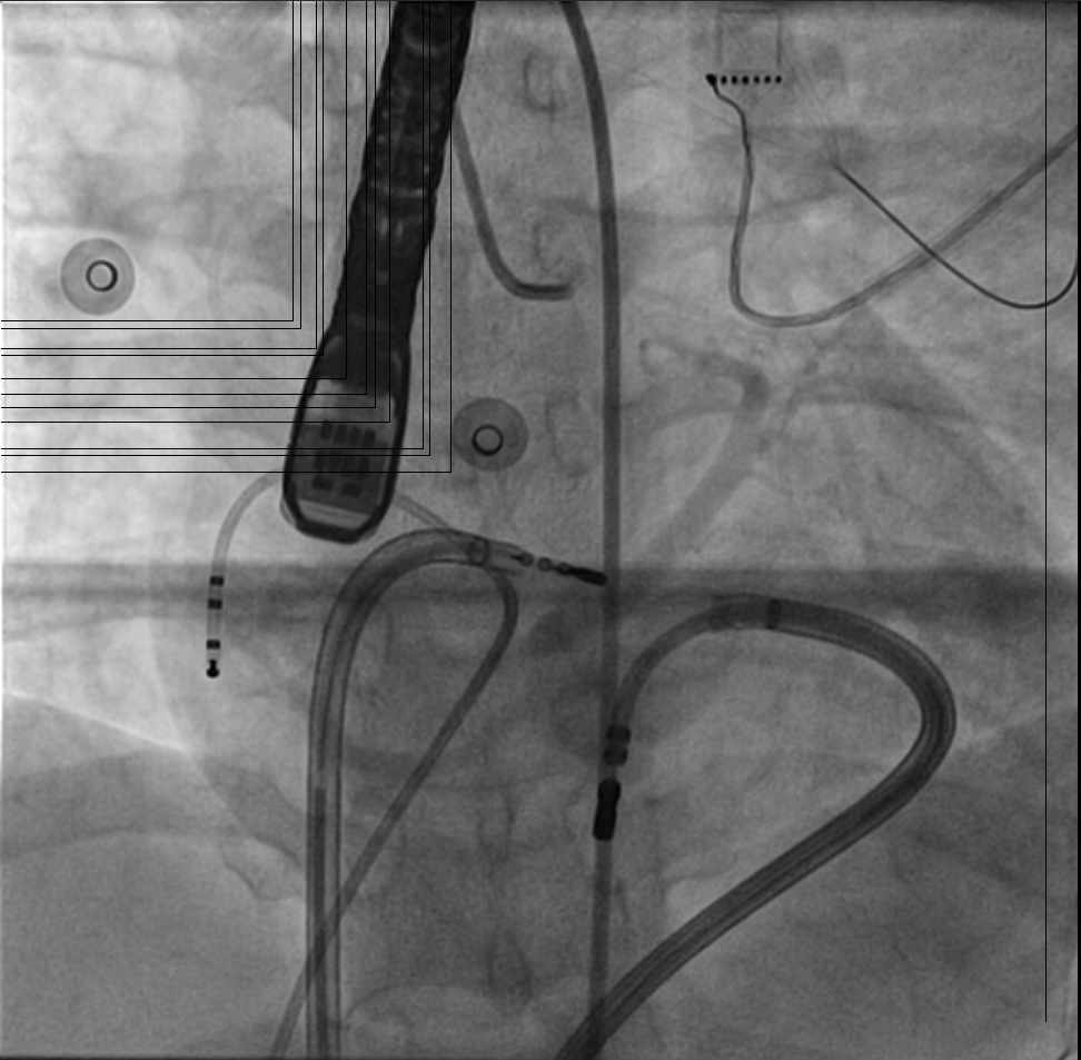
Epicardial ablation

Epicardial ablation - CS pathway

epicardial_cmc.jpg

Courtesy of Dr.John Roshan, CMC

Epicardial ablation - CS diverticulum with ostial atresia

epicardial_jipmer.png

epicardial_experience.png

Sternick EB, Faustino M, Correa FS, Pisani C, Scanavacca MI. Percutaneous Catheter Ablation of Epicardial Accessory Pathways. Arrhythm Electrophysiol Rev. 2017 Jun;6(2):80-84. doi: 10.15420/aer.2017.6.2. PMID: 28835839; PMCID: PMC5522715.

Summary

  • Signals more important than colours
  • Combination of bipolar and unipolar signals
  • Recording AP potential is critical