jipmer_logo.png

Management of Existing Pacemakers and Implantable Cardioverter-Defibrillators

Raja Selvaraj
Cardiac Electrophysiologist
Professor of Cardiology
JIPMER

Introduction

CIED (Cardiac Implantable Electronic Device)

  • Pacemaker
  • Defibrillator (ICD)
  • Resynchronization therapy devices (CRT-P / CRT-D)

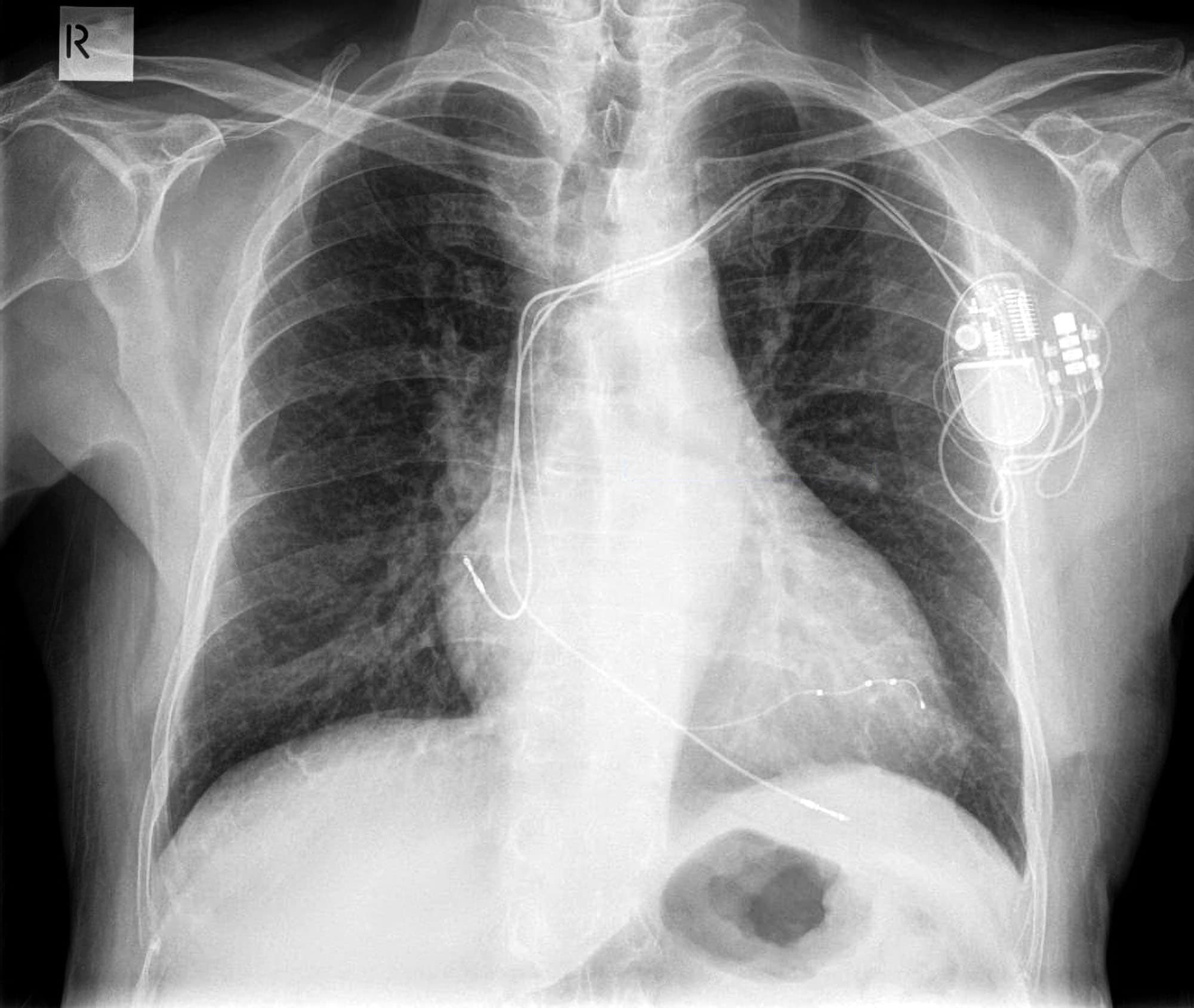
Pacemaker

pacemaker.jpg

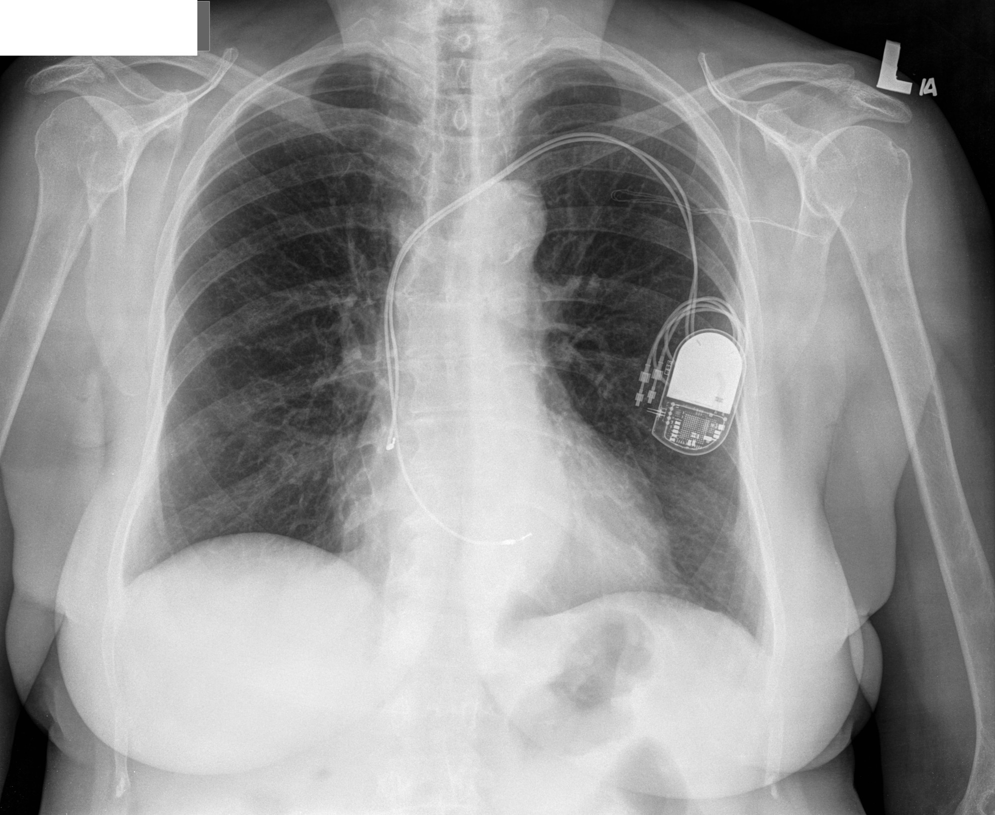
CRT

crt.jpg

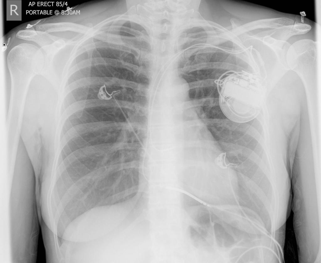
ICD

icd.jpg

Functions of CIEDs

Sensing

sensing.jpg

Pacing

pacing.jpg

Defibrillation

defib.jpg

Cardiac Resynchronization

biv.png

NASPE / BPEG Code

pacemaker_codes.png

Electromagnetic interference

Potential disruption of operation when in vicinity of a source of electromagnetic field

Sources in OR

  • Electro cautery
  • Extracorporeal shock wave lithotripsy
  • External defibrillation
  • Evoked potentials
  • Nerve stimulators
  • Radiofrequency ablation

What does sensed activity do ?

  • Can inhibit pacing
  • Can trigger pacing
  • Can result in arrhythmia detection
  • EMI can also alter device function / damage device

oversensing.png

Management of patient with CIED

  • Pre operative planning
  • Intra operative management
  • Post operative management

Preoperative planning

  • Evaluation
  • Cardiologist evaluation ?
  • Device interrogation ?
  • Anticipated EMI - Site and type of surgery

Evaluation

  • Type of device
  • Underlying rhythm
  • Underlying heart disease
  • Pacing dependent ?
  • Needs reprogramming / magnet application ?

Device Interrogation

  • If not done recently
  • AICD and CRT - 6 months
  • Pacemaker - 12 months
  • Otherwise review records

Anticipated EMI

  • Use of possible EMI sources
  • Site of surgery

Above vs below umbilicus

intraop_emi.png

Schulman PM, Treggiari MM, Yanez ND, Henrikson CA, Jessel PM, Dewland TA, Merkel MJ, Sera V, Harukuni I, Anderson RB, Kahl E, Bingham A, Alkayed N, Stecker EC. Electromagnetic Interference with Protocolized Electrosurgery Dispersive Electrode Positioning in Patients with Implantable Cardioverter Defibrillators. Anesthesiology. 2019 Apr;130(4):530-540. doi: 10.1097/ALN.0000000000002571. PMID: 30601218.

Intraoperative management

  • Reduce EMI
  • Alter device function to reduce risk from EMI
  • Monitor rhythm for bradycardia
  • Monitor for tachyarrhythmias and be prepared to treat

Reducing EMI

  • Dispersive electrode placement
  • Cautery modifications

Cautery modifications

  • Use of bipolar cautery
  • Planned placement of dispersive electrode
  • Short bursts

Protocolized dispersive electrode

protocolized_dispersive_electrode.png

Monitoring of rhythm

  • ECG may be obscured by noise
  • Pulse oximeter waveforms
  • Arterial pressure when available
  • Remember that heart rate may be fixed and not usable for hemodynamic monitoring

Alter device function - Magnet or reprogramming

When is it needed

  • Supra-umbilical surgery
  • Monopolar cautery
  • Pacing dependent patient or
  • Patient with ICD

What does magnet application do ?

  • Converts pacing to asynchronous mode in pacemakers
  • Changes rate to "magnet rate"
  • Disables tachyarrhythmia therapies in ICD

Advantages of magnet

  • More accessible
  • Convenient
  • Needs no training
  • Quick to reverse
  • Convenient in emergency setting

Disadvantages of magnet

  • Asynchronous pacing not always desirable - may trigger R-on-T
  • Rapid rate may not be desirable
  • Does not convert AICD to asynchronous pacing
  • Difficulty in obtaining and confirming response from device
  • Difficult in procedures where patient is not supine

r_on_t.jpg

BŐHM A, SZÉKELY A, PRÉDA IVentricular fibrillation provoked by cardioversion and asynchronous pacingHeart 2000;83:424.

Reprogramming

  • Pacemakers - Reprogram to asynchronous mode when pacing dependent and EMI anticipated, turn off rate adaptive pacing
  • ICD - Program tachyarrhythmia therapies off when EMI anticipated

Management of ventricular arrhythmia

  • Patient with ICD turned off needs to be in a monitored setting
  • Remove magnet or restore ATP therapies for ICD
  • External defibrillation / cardioversion
  • Antero posterior paddle position

Summary

  • More patients in OR are going to have a CIED
  • Anaesthetist should have some knowledge of CIEDs
  • However, always preferable to involve a cardiologist / heart rhythm specialist
  • Evaluation and reprogramming as needed is preferable to routine magnet placement