jipmer_logo.png

CIED implant procedure

Raja Selvaraj MD DNB FCE (Toronto)
Cardiac Electrophysiologist
Professor of Cardiology
JIPMER

Pre-procedure

Pre-procedure evaluation

  • Check indication
  • Decide on pacing mode
  • Decide on side
  • Discuss with patient

Pre-procedure preparation

  • Fasting (hydration)
  • Ipsilateral venous cannula
  • Blood investigations
  • Drugs - antiplatelets, anticoagulation
  • Chest X-ray

Prep and drape

  • Shaving / trimming
  • Antiseptic scrub
  • Drape
  • Skin film

Anaesthesia and Instruments

Local anaesthesia

  • Lignocaine
  • Additional Bupivacaine
  • 0.5 - 2.0 %
  • 3-4 mg/kg

Anaesthesia

  • Conscious sedation
  • Fentanyl + Midazolam
  • General anaesthesia

Instruments

instruments.jpg

Incision and dissection

Choosing side

  • Profession ?
  • Left side - Common, easier route, problems with persistent LSVC
  • Right side - Difficulty due to angulation, CRT difficult, ICD problems

Side

right_vs_left.jpg

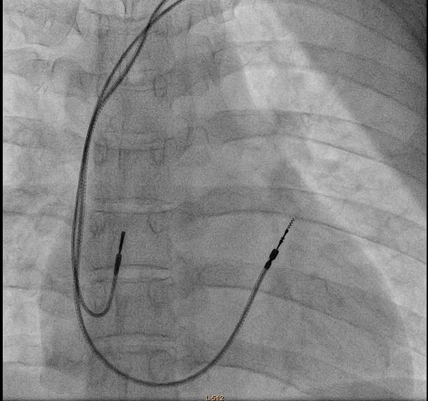
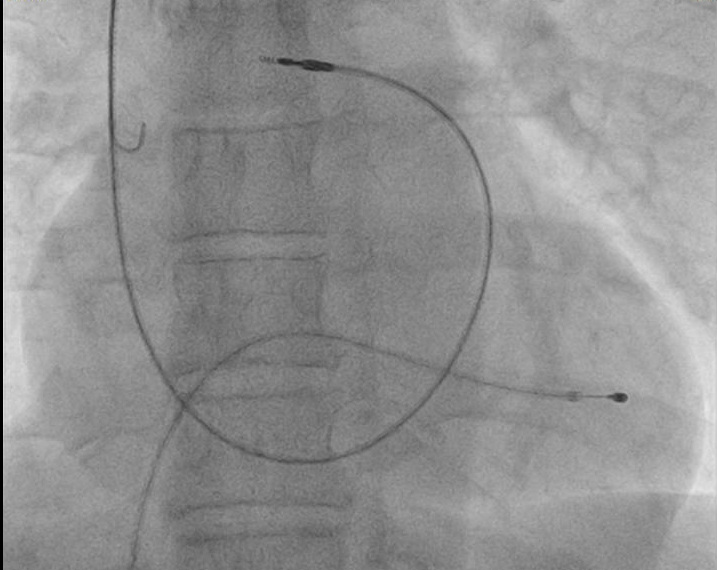
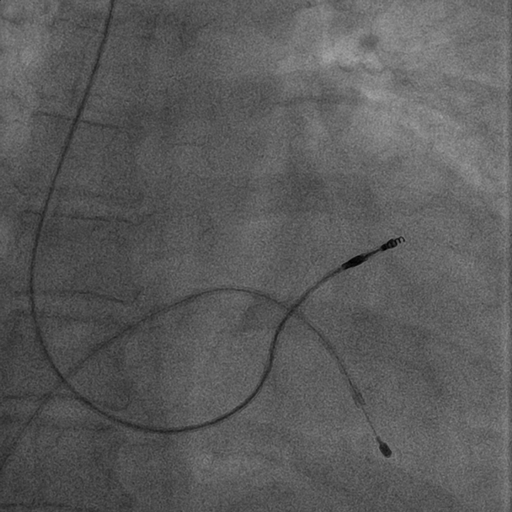
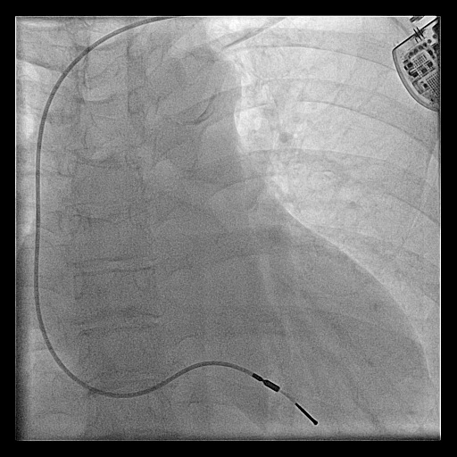
Persistent LSVC

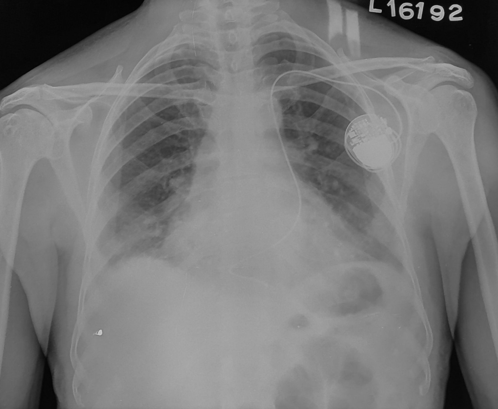
lsvc_lead.png

lsvc_vvi.jpg

Venogram in every patient before incision ?

Skin incision

  • Horizontal
  • Parallel to deltopectoral groove
  • Length of incision
  • 20 blade

Dissection

  • Use self retaining retractor
  • Sharp dissection with 11 blade / Cautery
  • Upto Deltopectoral fascia

Venous access

Routes

  • Cephalic vein
  • Subclavian vein
  • Axillary vein
  • Other, unconventional

Venous access at JIPMER (approx)

  • 75% - Cephalic vein
  • 24% - Axillary vein puncture (25% with venogram)
  • 1% - Subclavian vein puncture

Anatomy

venous_anatomy.jpg

Cephalic vein

Cephalic vein dissection

  • Sharp dissection up to pectoral fascia
  • Identify pad of fat in deltopectoral groove
  • Vein is within pad of fat
  • Separate from fascia, distal tie, open and pass lead

Cephalic vein dissection

cephalic_cutdown1.jpg

Cephalic vein dissection

cephalic_cutdown.jpg

Assisted cephalic vein access

  • Wire and lead
  • Wire and peel-away
  • 0.014 wire -> 5F -> exchange for 0.035 -> 7F

Cephalic vein

cephalic_venogram.jpg

Cephalic vein

cephalic_stenosis.jpg

Cephalic vein - pros and cons

  • ( - ) Learning curve
  • ( - ) Time
  • ( - ) Painful
  • ( - ) May not take multiple leads
  • ( + ) No pneumothorax
  • ( + ) No lead crush

Axillary vein

Axillary vein puncture

  • Fluoro guided
  • Junction of clavicle and first rib
  • Walk along first rib

Axillary vein - pros and cons

  • ( - ) Small learning curve
  • ( - ) Needs fluoroscopy
  • ( - ) Needs venogram (myth !)
  • ( + ) Very low risk of pneumothorax
  • ( + ) No lead crush

Subclavian vein

Subclavian vein puncture

subcl_puncture.jpg

Subclavian vein - pros and cons

  • ( + ) More people are familiar
  • ( + ) Anatomical landmarks sufficient
  • ( - ) Risk of pneumothorax
  • ( - ) Risk of lead crush

Lead crush

subclavian_crush.jpg

Single versus separate punctures

  • In case of difficult punctures
  • Routinely ?
  • Retained guidewire technique
  • Double wire technique

Tips

Axillary vein / subclavian puncture - tips

  • Lignocaine in syringe
  • No roll under shoulders
  • Trendelenburg or elevate legs
  • Verify venous access (IVC)

Avoiding air embolism

  • Adequate hydration !
  • Trendelenberg / Leg elevation
  • Pinch sheath

Venogram

  • Difficult puncture
  • Pre-existing leads
  • 10-15 ml of contrast from ipsilateral arm
  • Management of stenosis

Puncture with venogram

Unconventional access

  • Internal jugular vein
  • Femoral vein

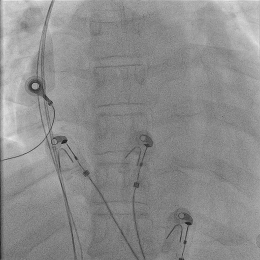
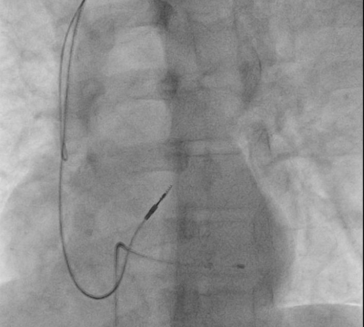
Confirm venous position

wires_ivc.jpg

Ventricular lead placement

Choosing a lead

  • Active or passive
  • Length

RVA position - The mimics (AP view)

  • RA -> PFO -> LA -> LV
  • RA -> CS -> lateral vein
  • RA -> Hepatic vein

RVA placement

  • Gently curved stylet
  • Straight stylet
  • RVOT -> RVA

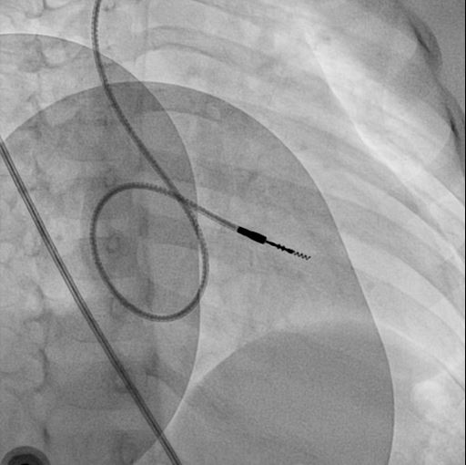
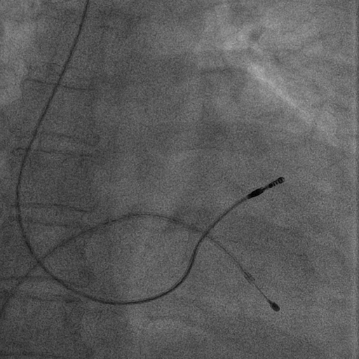
RVA

pa_postion.jpg

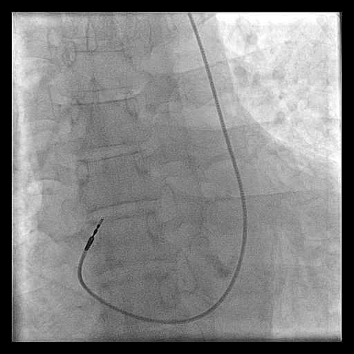
RVA

passive_rva.jpg

RVOT pacing

  • Active fixation lead
  • Stylet shaping

Mond curve

mond_curve.jpg

RVOT pacing

rvot_before_screw.jpg

RVOT pacing

rvot_lead.jpg

RVOT pacing

rvot_pacing_ecg.jpg

rv_lead_screw_retracted.jpg

rv_lead_screw_extended.jpg

Extra loop

alpha_loop.jpg

Atrial lead placement

Atrial appendage

  • Pre-formed J
  • J shaped stylet
  • Recognize appendage position

Other atrial locations

  • Active fixation lead
  • Lateral wall
  • Septum

Fix and connect

Fixing lead

  • Use a suture sleeve
  • Fixing to fascia / muscle

Attaching PG

  • Connector pin position
  • Dynamometric wrench - stops and signals when desired torque is achieved
  • Tug to test

Pocket

Pocket creation

  • Sharp dissection to define fascial plane
  • Controlled blunt dissection
  • Medially oriented

Subpectoral pocket

  • Indications
  • Between heads of pectoralis major
  • Split pectoralis major

Closure

Closure

  • Subcutaneous- Vicryl 2-0 in two layers
  • Skin - Vicryl 3-0 subcuticular
  • Skin - Prolene 3-0 mattress

Post implant

Post procedure care

  • Immobilisation / bed rest ?
  • Analgesia
  • Chest X ray after 4-6 hours

Post procedure care

  • ECG / Pacemaker check
  • Antibiotics ?
  • Shower ?

Complications and How to avoid

Infection

  • Asepsis
  • Antibiotics are not an solution!
  • Reduce use of TPI
  • Optimise blood sugar control
  • Reduce procedure time
  • Avoid lead dislodgement
  • Correct pocket placement

Lead dislodgement

  • Active fixation
  • Ensure good myocardial contact
  • Current of injury
  • Fixation sleeve

Perforation

  • Vulnerable patient population
  • Vulnerable locations
  • Lead stiffness with stylet

atrial_lead_perforation.jpg

Hematoma

  • Antiplatelets
  • Anticoagulants
  • Sharp dissection
  • Cautery