Mapping and Ablating OT-VAs: Pearls and Pitfalls

jipmer.jpg

Raja Selvaraj

Professor of Cardiology, JIPMER

Outflow tract SOO

ot_soo.jpg

Robert Anderson et al. Differentiating Right- and Left-Sided Outflow Tract Ventricular Arrhythmias. Circulation: Arrhythmia and Electrophysiology. 2019;12:e007392

ECG - Broad principles

ot_soo_ecg_correlation.jpg

Robert Anderson et al. Differentiating Right- and Left-Sided Outflow Tract Ventricular Arrhythmias. Circulation: Arrhythmia and Electrophysiology. 2019;12:e007392

Early transition - Left

v1_transition.jpg

Transition at V3

rvotvt.jpg

Transition ratio

12lead_transition.jpg

V3 transition - LVOT vs RVOT

lv_or_rv_ecg.jpg

Early transition - LV or aorta ?

baseline12lead.jpg

Varying coupling

baseline12lead_measurements.jpg

Bradfield JS, Homsi M, Shivkumar K, Miller JM. Coupling interval variability differentiates ventricular ectopic complexes arising in the aortic sinus of valsalva and great cardiac vein from other sources: mechanistic and arrhythmic risk implications. J Am Coll Cardiol. 2014;63(20):2151-2158. https://doi.org/10.1016/j.jacc.2014.02.551

Start with a deeply placed CS catheter

cs_catheter.jpg

Deflectable sheath in CS

Deflectable sheath in CS

Deflectable sheath in CS

Irrigation for summit VA

irrigation.jpg

Potential reversal in aortic sinus

pot_reversal.jpg

Selvaraj RJ et al. Ablation of ventricular tachycardia arising from the left coronary cusp. Heart 2011;97:1720.

Unipolar less useful

fig2_new.jpg

Low Power

  • 15-30 W may suffice
  • Immediate cessation of PVCs indicator of success
  • No long term recurrence

Kabilan … Raja Selvaraj. Low power ablation for left coronary cusp ventricular tachycardia—Efficacy and long-term outcome. Indian Heart Journal 2018;17:S384-S388

quick_response_abl.jpg

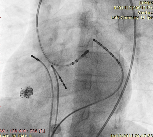
Distance from coronaries

cor_angio.jpg

Distance from coronaries

lad_too_close.jpg

Pulmonary cusp VT

pulm_cusp.jpg

Liao Z et al. Idiopathic ventricular arrhythmias originating from the pulmonary sinus cusp: Prevalence, electrocardiographic/electrophysiological characteristics, and catheter ablation. J Am Coll Cardiol 2015; 66: 2633–2644.

Summit PVCs

pvc_ecg.jpg

Mapping

timings.jpg

High power ablation

ablation_site.jpg

Delayed effect

delayed_effect.png

Ding L et al. (2017). Delayed efficacy of radiofrequency catheter ablation on ventricular arrhythmias originating from the left ventricular anterobasal wall. Heart Rhythm, 14(3), 341–349

Summary

  • ECG helps broad localization
  • Left or right ? - PVC transition, R in V2, sinus transition
  • Deep CS catheter, sheath in CS
  • Signal in aortic / pulmonary cusps
  • Delayed ablation effect