Troubleshooting difficult SVT ablation

jipmer.jpg

Raja Selvaraj

Professor of Cardiology, JIPMER

General

  • Do not ablate without making a diagnosis
  • Do not ablate without mapping completely
  • Do not ablate unless you are sure you can recognize and avoid AV block
  • Except specific situations, high power ablation does not succeed where low power fails
  • Do not ablate for cosmetic reasons

AVNRT

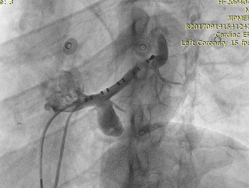
Left sided ablation

rao_lao.jpg

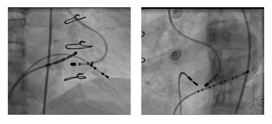
VA block during ablation

06_tachy.jpg

08_va_block_abl.jpg

09_a_pace_abl.jpg

Accessory pathways

RF parameters to identify effective ablation

RF Parameters.jpg

Safest ablation is the one that you avoid !

Young male. preexcitation and atypical symptoms

01_baseline_ecg.jpg

Atrial S1S2 - 600/290 ms

05_ra_600_290.jpg

Parahisian pacing

06_parahisian.jpg

AF induced

07_af.jpg

Young boy with preexcitation

naveen _fv_pathway.jpg

Mapping approaches - Rhythm

Mapping approaches

  • Earliest ventricular activation during maximum preexcitation with atrial pacing *
  • Earliest atrial activation during ventricular pacing *
  • Earliest atrial activation during orthodromic reentrant tachycardia
  • Intermediate preexcitation during sinus rhythm / slow pacing

(*) May not recognise AV conduction injury

Septal pathways - Ablate during tachycardia

asap_ablation_tachy.jpg

Left sided pathways - Entrain and ablate

entrain_ablate.jpg

Unipolar EGM

unipolar.jpg

good_signal_llap_antegrade.png

Mapping and ablating in AF

Young male, RHD MS with left sided AP, preexcited AF

palani_002.jpg

Mapping during AF

palani_006.jpg

Ablation during AF

palani_004.jpg

Using the "bump"

sundar_gentle_map.jpg

bump_during_mapping.jpg

Pathway slant

slant.png

Implications

  • Map for earliest A, not shortest VA
  • Atrial and ventricular insertions may not correspond
  • May be preferable to ablate medial to atrial insertion, where AP potential is observed

med_lat.jpg

pot_late_a.jpg

LA - CS potentials

Endocardial AP

la_cs_block.jpg

Epicardial AP

epicardial_ap_signal_sequence.jpg

Unusual locations

Female with left sided AP

fig1.jpg

A-V separated in CS

fig2.jpg

LAA pathway

fig3.jpg

CS Diverticulum

Preexcited AF - note leads II and V6

ecg_af.jpg

Venogram

diverticulum.jpg

Ablation at ventricular insertion

ventricular_insertion_abl.jpg

Successful location at neck with CSE potential

succ_site.jpg

Atrial tachycardia

Activation mapping

01_baseline_p_wave.jpg

02_baseline_ic_measurements.jpg

05_la_roof_measurements.jpg

Summary

  • AVNRT - Ablation within CS / left sided ablation
  • AVNRT - VA block in some atypical AVNRT
  • AT - Activation mapping. P onset in relation to fixed reference
  • AP - Dont ablate when not needed
  • AP - Choose rhythm to map and ablate carefully
  • AP - When mapping for atrial insertion, map like AT constrained to the annulus
  • AP - When mapping the ventricular insertion, Use unipolar EGMs
  • Mechanical bump can help to map
  • Consider unusual locations - appendages / away from annulus / within CS