CRT - Indications and Response to Therapy

jipmer.jpg

06 April 2019

Raja Selvaraj, JIPMER

Introduction

What is CRT ?

  • A third of patients with advanced heart failure have a prolonged QRS duration
  • Electrical dyssynchrony associated with mechanical dyssynchrony
  • CRT is a form of multisite ventricular pacing that corrects the dyssychrony
  • Improvement in systolic function, remodeling of the ventricle, reduction of MR
  • Improvement in functional capacity

Illustrative case

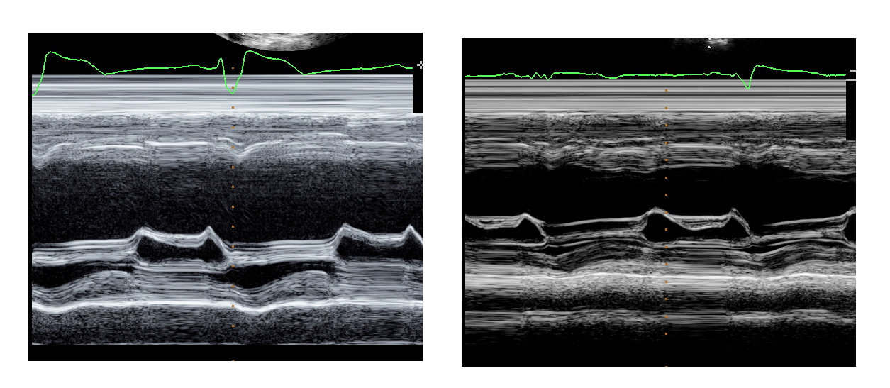
  • 45 year old male
  • DOE NYHA III
  • LVEF 18%
  • Normal coronaries

CRT implant

crt_views.jpg

Echo - Pre and Post (3 months)

echo_pre_post.jpg

Now - 8 years later

  • NYHA I
  • LVEF 55%
  • Beta blocker and ACEI

Indications

Guidelines based

  • ACC AHA guidelines
  • Focused update
  • EHRA
  • ESC
  1. ACC/AHA/HRS 2008 Guidelines for Device-Based Therapy of Cardiac Rhythm Abnormalities. Circulation. 2008;117:e350–e408
  2. 2012 ACCF/AHA/HRS focused update incorporated into the ACCF/AHA/HRS 2008 guidelines for device-based therapy of cardiac rhythm abnormalities. J Am Coll Cardiol 62:e6–e75
  3. 2013 ESC / EHRA guidelines on cardiac pacing and cardiac resynchronization therapy. Eur Heart J 34:2281–2329.
  4. 2016 ESC guidelines for the diagnosis and treatment of acute and chronic heart failure. Eur Heart J 18:891–975

Class I Indication

LVEF < 35%

LBBB

QRSd > 150

NYHA II / III / IV

Sinus rhythm

In addition

  • Should be receiving guideline directed medical therapy
  • Interval more than
    • 3 months from initial diagnosis
    • 40 days after MI
    • 3 months after revascularization

Beyond class I guidelines

QRS duration < 150 ms

qrs<150.png

Stavros Stavrakis et al. The Benefit of Cardiac Resynchronization Therapy and QRS Duration: A Meta‐Analysis. JCE 2012;23:163-168

QRS duration < 150 ms

qrs>150.png

Narrow QRS - QRSd < 120 ms

  • Echo identified mechanical dyssynchrony does not predict response
  • Class III with QRSd < 120 / 130 ms
  1. Echo CRT - Ruschitzka F., Abraham W.T., Singh J.P., et al. (2013) Cardiac-resynchronization therapy in heart failure with a narrow QRS complex. N Engl J Med 369:1395–1405
  2. Lesser earth - Thibault B., Harel F., Ducharme A., et al. (2013) Cardiac resynchronization therapy in patients with heart failure and a QRS complex <120 milliseconds: the Evaluation of Resynchronization Therapy for Heart Failure (LESSER-EARTH) trial. Circulation 127:873–881

QRSd 120-130 ms

  • ACC / AHA - Class IIa (2012)
  • ESC EHRA - Class I (2013
  • ESC HFA - Class III (2016)

ECHO CRT study

  • NYHA III or IV
  • LVEF < 35%
  • QRSd < 130 ms
  • Echo evidence of dyssynchrony

Frank Ruschitzka et al. Cardiac-Resynchronization Therapy in Heart Failure with a Narrow QRS Complex. N Engl J Med 2013; 369:1395-1405

ECHO CRT study

echo_crt.jpeg

Non LBBB wide QRS

  • Class IIa when QRSd > 150 and NYHA III / IV
  • Class IIb - NYHA II, QRSd > 150
  • Class IIb - NYHA III, QRSd < 150

NYHA Class IV

  • Most patients in trials are in NYHA III
  • Overall, NYHA IV comprise 10% or less
  • Most of these are ambulatory IV
  • Not useful in acute decompensated heart failure

NYHA Class I

  • Class IIb indication in ischemic CMP with EF < 30% and LBBB, QRSd>150
  • Based on benefit with CRTD in MADIT CRT trial (15% of patients were NYHA I)

Zareba W., Klein H., Cygankiewicz I., et al. (2011) Effectiveness of cardiac resynchronization therapy by QRS morphology in the Multicenter Automatic Defibrillator Implantation Trial-Cardiac Resynchronization Therapy (MADIT-CRT). Circulation 123:1061–1072.

Atrial fibrillation

  • Class IIa
  • Other indications met
  • Ensure near 100% pacing
  • Will need good pharmacologic rate control or AV node ablation

Pacing requirement in heart failure or reduced LVEF

  • Reduced LVEF
  • Heart failure
  • Pacing requirement > 40%
  1. BLOCK HF - Curtis A.B., Worley S.J., Adamson P.B., et al. (2013) Biventricular pacing for atrioventricular block and systolic dysfunction. N Engl J Med 368:1585–1593
  2. DAVID - Sharma A.D., Rizo-Patron C., Hallstrom A.P., et al. (2005) Percent right ventricular pacing predicts outcomes in the DAVID trial. Heart Rhythm 2:830–834.

Ischemic heart disease

  • Not differentiated in guidelines
  • Clinical / remodeling response less compared to NICM
  • Survival benefit of CRTD over ICD in trials
  • Predominantly used in North America (>50% of all CRT)

Heart failure, LBBB, EF 35-50%

ef_response.jpg

Evolution of CRT usage

progression.png

Summary

Summary

  • Better selection = less non responders
  • Situations where trial may be considered although chance of response less
  • Should be discussed with patient