Narrow QRS tachycardia in a 38-year-old female

jipmer.jpg

Raja Selvaraj, JIPMER

38 F. ECG recorded during palpitations

gunasundari_tachy_qrs_alternans.jpg

ECG

  • Regular
  • Narrow QRS tachycardia
  • QRS alternans
  • PR = RP

Incremental ventricular pacing

01_vawb.jpg

Single ventricular extrastimulus

02_rv_600_300.jpg

Atrial incremental pacing

03_avwb.jpg

Atrial extrastimulus 600/320

04_cs_600_320.jpg

Atrial extrastimulus 600/310

05_cs_600_310.jpg

Atrial extrastimulus 600/300

06_cs_600_300.jpg

Tachycardia

065_tachy_atrial_activation.jpg

RV overdrive pacing

08_v_pace_does_not_entrain.jpg

Early PVC

07_early_pvc_does_not_prexcite.jpg

VOP with Isoprenaline

13_unable_to_entrain_with_iso.jpg

Spontaneous termination

12_spont_term_v.jpg

Initiation of tachycardia

11_av_block_tachy_onset.jpg

Adenosine bolus

10_term_adenosine.jpg

What now?

Diagnosis of SVT with septal atrial activation and inability to overdrive A

  • VA unlinking during rapid atrial pacing (1)
  • Differential atrial pacing and VA delta (2)
  • Simultaneous atrial and ventricular pacing (3)
  1. Kadish et al. The Response of Paroxysmal Supraventricular Tachycardia to Overdrive Atrial and Ventricular Pacing. JCE 1993; 4(3): 239-252
  2. Sarkozy et al. A novel pacing manoeuvre to diagnose atrial tachycardia. EP Europace 2008; 10(4): 459–466
  3. Saba et al. A novel manoeuvre for discerning supraventricular tachycardia mechanism. Europace 2011; 13(4): 562–565

Sensitivity and specificity

va_unlinking_sens_spec.png

Knight et al. Diagnostic value of tachycardia features and pacing maneuvers during paroxysmal supraventricular tachycardia. JACC 2000; 36(2): 574-582

Simultaneous atrial and ventricular pacing

simul_pacing.png

Saba et al. A novel manoeuvre for discerning supraventricular tachycardia mechanism. Europace 2011; 13(4): 562–565

Burst atrial pacing

09_va_unlinking.jpg

Activation mapping of AT

  • Earliest in His region
  • Small His EGM at best site
  • Options ?

RAO view

01_cusp_angio00001.jpg

LAO view

02_cusp_angio_lao00001.jpg

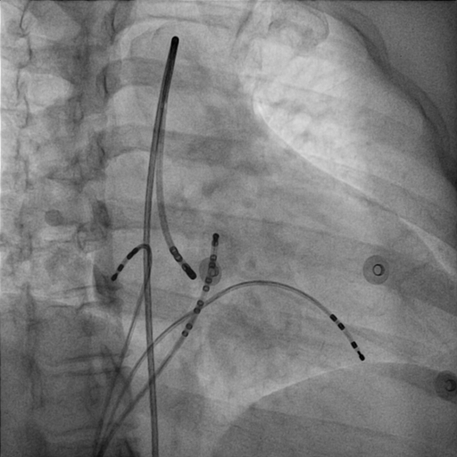
Ablation catheter in NCC

03_abl_site00001.jpg

Successful ablation

14_succ_site_in_ncc.jpg

Parahisian AT

  • Paroxysmal tachycardia
  • Middle aged women
  • Adenosine sensitive
  • Safer and effective ablation from NCC

Anatomic and embryologic correlation

retroaortic_node.png

Bohora et al. Reappraisal and new observations on atrial tachycardia ablated from the non-coronary aortic sinus of Valsalva. Europace. 2018 ;20(1):124-133