Mapping and ablation of left sided pathways - How do I do it

Raja Selvaraj, JIPMER

Introduction

Introduction

  • 50 to 60% of all pathways
  • Highest success rate
  • Lowest recurrence rate

Points

  • Approach - Retrograde vs transseptal
  • Mapping - Coronary sinus
  • Mapping - Separating A and V
  • Difficult / failed ablations

Retrograde vs transseptal

Approaches

both_approaches.png

Retrograde or Transseptal - Evidence

  • Similar success rate
  • Similar procedure / fluoro time
  • More complications with retrograde approach

Manolis AS, Wang PJ, Estes NA 3rd. Radiofrequency ablation of left-sided accessory pathways: transaortic versus transseptal approach. Am Heart J. 1994 Nov;128(5):896-902.

Choosing an approach

  • Personal preference
  • Train in both
  • May have to choose according to patient
    • Pediatric / Peripheral arterial disease / Aortic valve disease
    • Kyphoscoliosis
  • Transseptal - more mobility, less stability
  • Ready to switch

Coronary sinus

CS located away from annulus

cs_position_ma.png

Shinbane JS, Lesh MD, Stevenson WG et al. Anatomic and electrophysiologic relation between the coronary sinus and mitral annulus: implications for ablation of left-sided accessory pathways. Am Heart J. 1998 Jan;135(1):93-8

CS LA connections

cs_la_connections.png

Chauvin M, Shah DC, Haïssaguerre M et al. The anatomic basis of connections between the coronary sinus musculature and the left atrium in humans. Circulation. 2000 Feb 15;101(6):647-52.

LA - CS block

la_cs_block.jpg

CS ventricular connections

CS_LV_pathway.png

  • About a third of all posteroseptal / left posterior APs
  • 70% of them had no diverticulum

Sun Y, Arruda M, Otomo K et al. Coronary sinus-ventricular accessory connections producing posteroseptal and left posterior accessory pathways: incidence and electrophysiological identification. Circulation. 2002;106(11):1362-7.

Mapping - Rhythm

Mapping - Options

  • Atrial activation during ventricular pacing
    • Can intermittently check in sinus rhythm / atrial pacing
    • May have to pace from RVOT / LV
  • Ventricular activation during atrial pacing / sinus rhythm
  • Ablation during tachycardia

RVOT pacing

pacing_rvot_rva.jpg

LV pacing

lv_pacing.jpg

Entrained tachycardia

entrained_tachycardia.jpg

Mapping - Differentiating A and V

Separating A and V

mask1.jpg

Information from other electrodes

mask2.jpg

Unipolar

mask3.jpg

Non preexcited beats

mask4.jpg

Mapping - Pseudodisappearance

pseudo_disappearance.png

Raja Selvaraj et al. Pseudodisappearance of atrial electrogram during accessory pathway ablation, EP Europace 2012;14(7):993

Simultaneous pacing

simul_pacing.png

Nakao, Seto, Iliev et al. Simultaneous Atrial and Ventricular Pacing to Facilitate Mapping of Concealed Left-Sided Accessory Pathways. PACE 2002; 25:922–928

Reversal of activation in oblique pathway

oblique_reversal.jpg

Otomo K, Gonzalez MD, Jackman WM et al. Reversing the direction of paced ventricular and atrial wavefronts reveals an oblique course in accessory AV pathways and improves localization for catheter ablation. Circulation. 2001 Jul 31;104(5):550-6.

Difficult / failed ablations

Reasons for failed ablation

  • Inability to position catheter at target site
  • Instability of catheter
  • Mapping error due to oblique course
  • Localisation errors
  • Epicardial location
  • Recurrent AF
  • Unusual locations

Morady F, Strickberger A, Man KC et al. Reasons for prolonged or failed attempts at radiofrequency catheter ablation of accessory pathways. J Am Coll Cardiol. 1996;27(3):683-9.

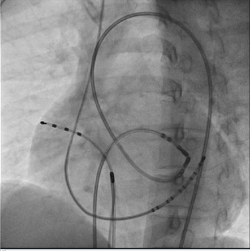
Stability

  • Sheath
  • Catheter course
  • Retrograde approach
  • Pacing if possible
  • Entrain if during tachycardia

Oblique pathways

medial_both.jpg

Oblique course

  • Misleading VA interval
  • Obscures AP potential
  • Change pacing location
  • Map for earliest activation (A/V)

Isthmus block

isthmus_block.png

Isthmus block

isthmus_block2.png

Luria DM, Nemec J, Etheridge SP et al. Intra-atrial conduction block along the mitral valve annulus during accessory pathway ablation: evidence for a left atrial "isthmus". J Cardiovasc Electrophysiol. 2001;12(7):744-9.

Isthmus block

isthmus_block1.png

AF

palani_af_llap.jpg

CS ventricular connection - CS muscle potential

nandhin_02_2015_cs_potential.jpg

LAA pathway

laa2.jpg

Summary

Summary

  • Left sided pathways in general are easiest to ablate and have best long term results
  • However, may occasionally present a challenge
  • Use of different pacing patterns to differentiate A and V
  • Mapping for earliest A / V
  • Use of unipolar mapping
  • Awareness of alternate pathway locations